NC | 芝加哥大学何川团队最新论文,揭示m6A修饰在BAT和WAT中的特异性调控机制
肥胖和糖尿病是全球面临的重大公共卫生问题挑战,它们与心血管疾病、癌症等多种慢性疾病密切相关。棕色脂肪组织(BAT)和白色脂肪组织(WAT)是两种主要的脂肪组织,它们在能量代谢中具有截然不同的功能。BAT主要通过产热消耗能量,并分泌多种细胞因子调节全身胰岛素敏感性;而WAT则主要作为能量储存库,储存甘油三酯(TGs),并通过分泌内分泌激素调节远端器官的代谢。WAT的功能失调与细胞凋亡、炎症和胰岛素抵抗密切相关,而这些过程正是代谢疾病的核心病理机制。

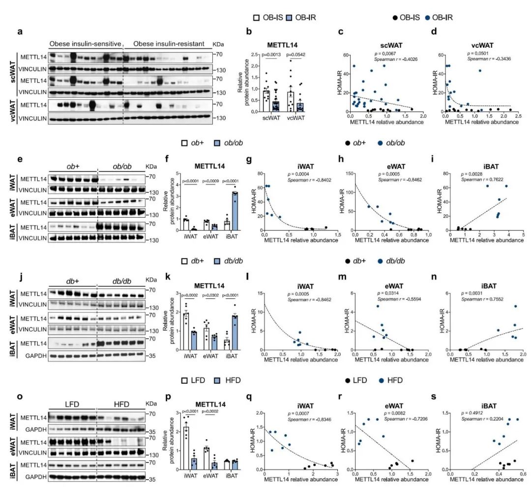
METTL14在棕色及白色脂肪组织中的表达存在差异

(METTL14在胰岛素抵抗的人类和小鼠的棕色脂肪与白色脂肪中表达不同)
METTL14在不同脂肪组织中的作用高度特异
通过构建两种基因敲除小鼠模型(M14fl/fl-Ucp1cre和M14fl/fl-Adipoqcre),研究发现METTL14缺失在BAT和WAT中对全身胰岛素敏感性有相反的调节作用。研究发现,BAT中特异性敲除METTL14的小鼠展现出改善的胰岛素敏感性和更好的葡萄糖耐受性,且这种改善不依赖于BAT的产热活性,而是通过调节其分泌的内分泌因子来实现。而在WAT中,METTL14的缺失导致了白色脂肪细胞的凋亡,进而破坏了胰岛素敏感性,导致全身性胰岛素抵抗。这表明,METTL14在不同脂肪组织中的作用高度特异,并且其缺失对代谢的影响在BAT和WAT中存在截然不同的生理后果。

(METTL14在棕色脂肪或白色脂肪中的缺失导致小鼠出现相反的代谢表型)
METTL14缺失对不同外周代谢组织胰岛素敏感性影响不同
在进一步分析中,研究团队考察了METTL14缺失在不同外周代谢组织(如肝脏、肌肉、脂肪组织)中的胰岛素敏感性变化。研究发现,在BAT中特异性敲除METTL14的小鼠表现出更高的胰岛素敏感性,尤其是在肝脏和肌肉中显示出更强的胰岛素信号。然而,在WAT中特异性敲除METTL14的小鼠则出现了胰岛素信号传导的减弱,肝脏和肌肉的胰岛素响应明显受限。整体来看,METTL14的缺失通过调节不同组织中的胰岛素信号通路,产生了显著的组织特异性效应。这一发现强调了METTL14在脂肪组织及其他外周组织中的代谢调节作用,并进一步证明了其在调控全身代谢中的重要性。

(METTL14在棕色脂肪或白色脂肪中的缺失对外周组织的胰岛素敏感性产生不同影响)
相比BAT,WAT缺失METTL14代谢活动抑制作用更明显

(METTL14缺失对棕色脂肪和白色脂肪的产热能力产生不同影响)
METTL14缺失在小鼠iBAT和iWAT中的m6A甲基化组和转录组的差异
对M14fl/fl-Ucp1cre小鼠的iBAT和M14fl/fl-Adipoqcre小鼠的iWAT进行MeRIP-seq和RNA-seq分析,发现METTL14缺失导致iBAT和iWAT中分别有2465和2838个m6A低甲基化基因,以及4854和8007个高甲基化基因。同时,基因集富集分析显示,METTL14在BAT和WAT中的转录程序存在显著差异,如在M14fl/fl-Ucp1cre iBAT中,上调基因富集在脂质代谢、前列腺素合成和磷脂生物合成过程相关的通路,下调基因与胰岛素抵抗、白色脂肪细胞分化和凋亡通路相关;而在M14fl/fl-Adipoqcre iWAT中,上调通路涉及免疫反应、TNFα信号和凋亡,下调基因富集在脂质代谢、脂解、胰岛素信号和磷脂代谢通路。这些结果表明,METTL14在不同类型的脂肪组织中通过m6A修饰调节不同的转录程序,从而在组织特异性地影响代谢和炎症反应。

(METTL14缺失导致小鼠棕色脂肪和白色脂肪的m6A修饰和基因表达出现差异)
METTL14选择性地在人类棕色脂肪和白色脂肪中甲基化关键靶基因
在人体棕色脂肪细胞(hBAs)和白色脂肪细胞(hWAs)模型中,通过比较sgM14-hBAs和sgM14-hWA细胞中m6A低甲基化基因,发现只有160个共同低甲基化基因和912个高甲基化基因,以及559个共同上调基因和554个共同下调基因。在hBA细胞中,METTL14缺失导致脂质代谢和磷脂过程相关通路上调,凋亡和TNFα信号通路下调;在hWA细胞中,METTL14缺失主要导致TNFα和凋亡通路以m6A依赖的方式上调,同时导致EGFR1、focal adhension-PK3K-AKT-mTOR和胰岛素信号通路下调。通过这些差异化的m6A调控,METTL14在两种脂肪细胞类型中发挥了不同的代谢调节作用。

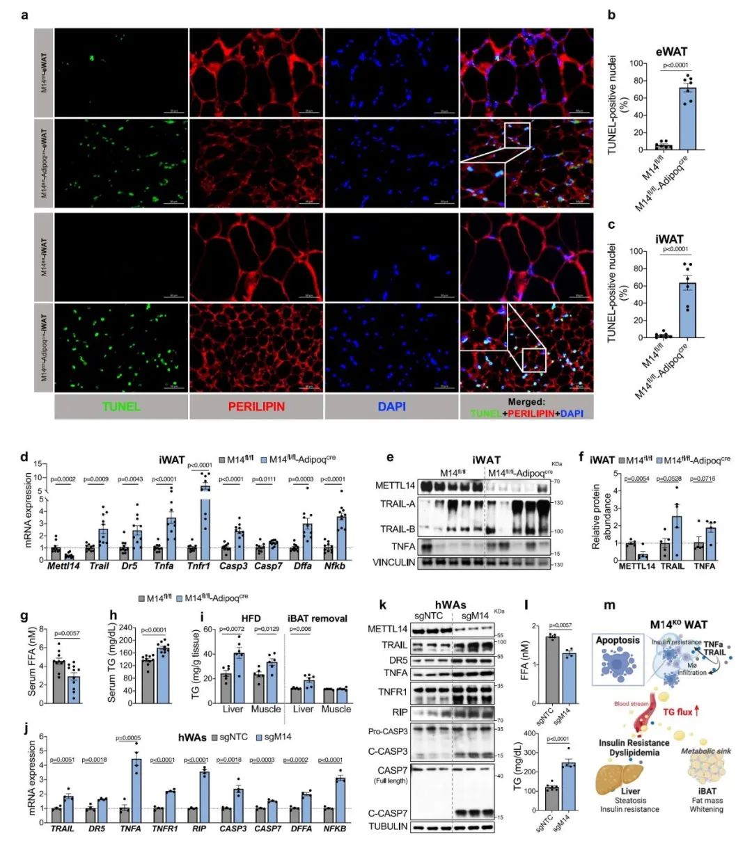
METTL14缺失促进小鼠和人类白色脂肪细胞的凋亡
在M14fl/fl-Adipoqcre小鼠的iWAT和eWAT中进行TUNEL检测,发现METTL14缺失导致白色脂肪细胞凋亡增加。在细胞水平上,M14fl/fl-Adipoqcre小鼠的iWAT中,Trail、Dr5、Tnfα、Tnfr1、Casp3、Casp7和Dffa等凋亡相关基因在mRNA水平上调,TRAIL和TNFA蛋白丰度增加;在分化的sgM14-hWA细胞中,也观察到凋亡标记基因的表达和蛋白丰度增加,同时FFA水平降低,TG水平升高。这一过程的发生可能与WAT中脂肪细胞的死亡和代谢紊乱有关,导致脂肪组织的功能受损,进而影响全身代谢和胰岛素敏感性。

METTL14通过m6A修饰调控白色脂肪细胞中凋亡相关基因的降解

(METTL14通过METTL14修饰加速白色脂肪细胞中凋亡相关基因的降解)
研究结论
研究团队思路清晰,方法得当,整合了多个实验手段(如m6A-seq、RNA-seq、TUNEL实验等)来全面评估METTL14在BAT和WAT中的作用,揭示了METTL14在棕色和白色脂肪细胞中的调控作用不同,会导致不同的代谢结果。在胰岛素抵抗的人和小鼠中,METTL14在棕色和白色脂肪组织中的表达与胰岛素敏感性相关。敲除棕色脂肪组织中的METTL14可促进前列腺素分泌,改善全身胰岛素敏感性;敲除白色脂肪组织中的METTL14则触发脂肪细胞凋亡和全身胰岛素抵抗。
该研究首次揭示了METTL14在棕色和白色脂肪细胞中通过m6A修饰对转录组的差异调控机制,以及这种差异对全身代谢的影响,为理解m6A修饰在脂肪组织功能中的作用提供了新的分子机制,并为未来针对代谢疾病的靶向治疗策略提供了理论依据。
云舟生物(VectorBuilder)为本研究提供了AAV8-eGFP载体(用于对照实验)和AAV8-shTrail和AAV8-shTnfr1载体(在iWAT中特异性敲低Trail或Tnfr1基因)的构建和病毒包装服务。







版权声明
本文仅作者转发或者创作,不代表旺旺头条立场。
如有侵权请联系站长删除
旺旺头条



发表评论:
◎欢迎参与讨论,请在这里发表您的看法、交流您的观点。